糖心vlog
首页
关于普爱
产品中心
骨科手术糖心vlog
移动式C形臂
数字化X射线成像系统(DR)
口腔CBCT
宠物X射线摄影系统
新闻中心
售后服务
人才招聘
联系我们
PLX5500
大功率移动DR
固定DR级影像 机动灵活更专业
PLX5500
PLX5500 系列数字高频移动式X射线摄影机
手术导航定位系统
PL300B
产品详情
临床图片
Product introduction
产品介绍
PLX5500 系列数字高频移动式X射线摄影机
固定DR级影像 机动灵活更专业
65kW大功率球管
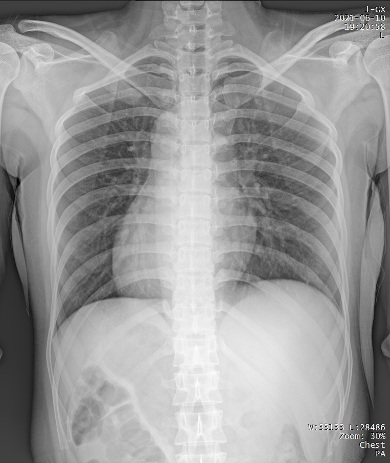
肥胖患者、组织较厚部位清晰显示
PLX5500输出的射线能够满足各体型患者的拍摄需求,即便是体重达上百公斤的患者,也能够获得清晰的图像。
短时曝光 定格心肺运动瞬间的影像
PLX5500能够在短时曝光内输出足量的X射线,获取清晰图像。特别适用于拍摄肺炎、尘肺病、肺结核等难以憋气的患者,避免因患者呼吸而产生运动伪影,便于医生准确诊断。
支持高千伏摄影 肺部纹理更有层次
PLX5500能够输出高能量X射线,与骨骼相重叠的软组织或骨骼本身的细小结构及含气的管腔等,均可清晰显示。
针对防疫工作专项优化
满足大规模体检、肺炎筛查等连续拍摄需求
大热容能够满足长时间的拍摄要求,可应对大规模的拍摄任务。
新型储能技术 可靠性高
新型储能技术尤其适用于目前持续、多发的防疫工作,充放电过程无化学反应,使用时更稳定,也不会因贮存过久而损坏或无法开机。
一机两用 设备利用率高
固定DR同级配置 清晰影像助力诊断
拥有固定DR级的硬件配置,适用各体型患者,图像清晰,临床诊断价值高。
机动灵活更显专业 动静结合多方适用
面对突发的床旁摄影、急诊拍摄任务,可立即出动,在院内灵活穿梭,随到随拍。
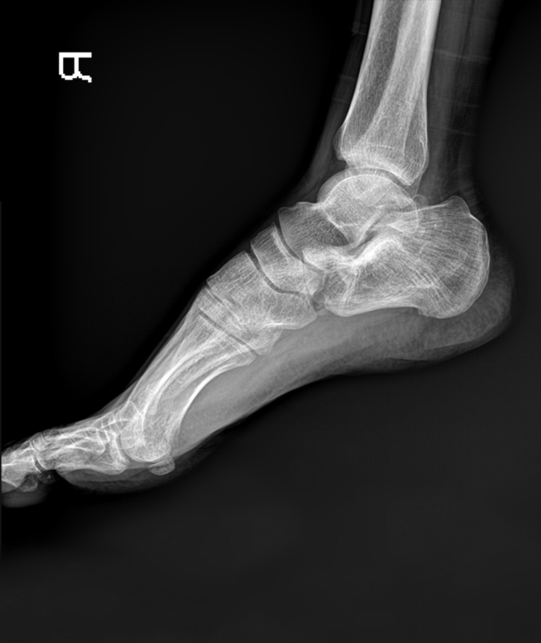
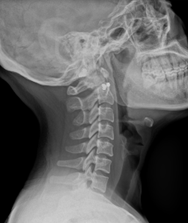
Clinical picture
临床图片
X
糖心-糖心vlog官网-记录美好生活甜蜜的瞬间
糖心-糖心vlog官网-记录美好生活甜蜜的瞬间
糖心-糖心vlog官网-记录美好生活甜蜜的瞬间
糖心-糖心vlog官网-记录美好生活甜蜜的瞬间
糖心-糖心vlog官网-记录美好生活甜蜜的瞬间