糖心vlog

PLD7600

多功能悬吊动态DR

一机多用 PLD7600

PLD7600 系列数字化透视摄影X射线机

集静态DR摄影与动态的透视、造影功能于一身,可进行头部、胸部、腹部和四肢等部位的DR静态摄影、各种动态及造影检查,还能在可视的情况下完成高清DR点片,有效避免传统静态DR盲拍造成的漏诊和误诊,满足多种临床诊断需求。

百微米动态平板探测器

搭载17x17英寸动态平板探测器,动态帧率高达30帧/秒,突破传统盲拍局限,通过动态实时连续成像,对于重叠部位、易被遮挡的病灶进行多角度动态观察,瞬时实现高清点片,提升筛查诊断的精准性。

多功能悬吊式机架设计

● 智能升降床体

智能升降床设计,便于老、幼、病残或行动不便者上下床,给患者以及医护人员带来更舒适的检查体验,智能化程度极高。

● 双向自动跟踪

探测器与球管双向自动跟踪,无需手动校正,多角度高精度实时同步;

胸片位、床上位电动转换,一键到位。

● 低位摄影

球管及胸片架可大范围纵向移动,平板探测器中心最低离地35cm,轻松满足膝关节、踝关节等低位摄影的要求。

● 特殊角度摄影

牛头可全角度旋转,满足全身各部位的应用,特有的倾斜投照位,可满足特殊病人的临床应用。

● 手动电动一体化

悬吊配备手动模式与电动模式,沿天轨横纵移动时可选手动或电动,满足不同医护人员使用习惯。


智能控制系统

●  自动对中

球管自动对准探测器中心点,无需手动校准,便捷高效。

●  自动控制曝光

无需手动调节,系统准确地控制射线剂量,获得适当的感光量,保证优秀的影像效果。

●  图像拼接

系统可以识别曝光图像,无需设置识别点即完成精准拼接,呈现大范围完整影像。

●  平板在线充电技术

胸片架或摄影床的片盒系统内置在线充电口,快速充电,持久续航。


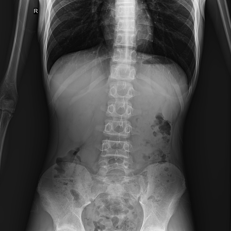
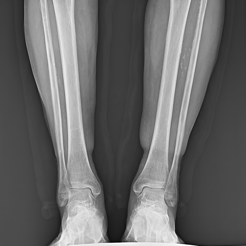
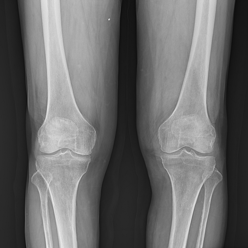
Clinical picture
临床图片
糖心-糖心vlog官网-记录美好生活甜蜜的瞬间 糖心-糖心vlog官网-记录美好生活甜蜜的瞬间 糖心-糖心vlog官网-记录美好生活甜蜜的瞬间 糖心-糖心vlog官网-记录美好生活甜蜜的瞬间 糖心-糖心vlog官网-记录美好生活甜蜜的瞬间