糖心vlog

PLX8100

多功能动态DR

百微平板 成像清晰 PLX8100

PLX8100 系列数字化透视摄影X射线机

运动灵活、操作方便、工作效率高,具有动态、静态图像采集两种摄影方式。可供各级医院人体头部、胸部、腹部、腰椎、四肢等部位进行卧位、正位、侧位、斜位的摄影、透视及各类造影检查,满足临床各种需求


超清影像链系统 细节丰富易诊断

图像超清更精细

搭载高性能的百微米平板,4K*4K采集矩阵结合100μm像素尺寸,清晰显示细小病灶。

30帧动态影像更流畅

动态帧率达30帧/s,动静态影像快速切换,可实现实时点片,快速捕获瞬间关键图像。

大热容球管持续输出

大热容、高转速双焦点球管,散热速度快,球管使用寿命长。满足长时间使用需求。


摆位灵活 一键操作

一体式机架设计

一体化结构,占地面积小,装机要求低,支持多种临床场景一键摆位。

一键智能摆位

多角度智能摆位,立卧位一键切换,满足临床多体位切换拍摄需求。

一键视野调节

智能限束器根据临床需求,一键调整照射视野。


贴心设计 呵护健康

可插拔式滤线栅设计

用于儿科以及对剂量敏感人群时,可手动插拔滤线栅进行切换。

DAP剂量监控系统

可显示患者单次检查吸收的累计辐射剂量值,方便进行安全辐射剂量监控。

AEC自动曝光电离室

可根据患者体厚自动调整拍摄参数,提高良片率,降低重复摄影。


智能图像优化系统

IBS自动控制智能影像优化

可扩展配备全智能IBS控制功能,自动识别被照体信息,无需手动调整曝光参数,实现快速稳定出图。

自主研发的组织均衡技术

人体图像通过组织均衡后,图像细节更突出,肺纹理末端细小血管及骨骼的纹理、肌肉层次等清晰显示。

专业级图像采集卡

采用新型降噪、边缘增强滤波、对比度增强等实时处理技术,图像处理速度和图像质量进一步提升。 


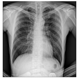
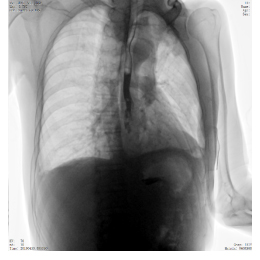
Clinical picture
临床图片
糖心-糖心vlog官网-记录美好生活甜蜜的瞬间 糖心-糖心vlog官网-记录美好生活甜蜜的瞬间 糖心-糖心vlog官网-记录美好生活甜蜜的瞬间 糖心-糖心vlog官网-记录美好生活甜蜜的瞬间 糖心-糖心vlog官网-记录美好生活甜蜜的瞬间