糖心vlog

PLX8600

大视野平板动态DR

一板成像 岂止于大 PLX8600

PLX8600 系列数字化摄影X射线机

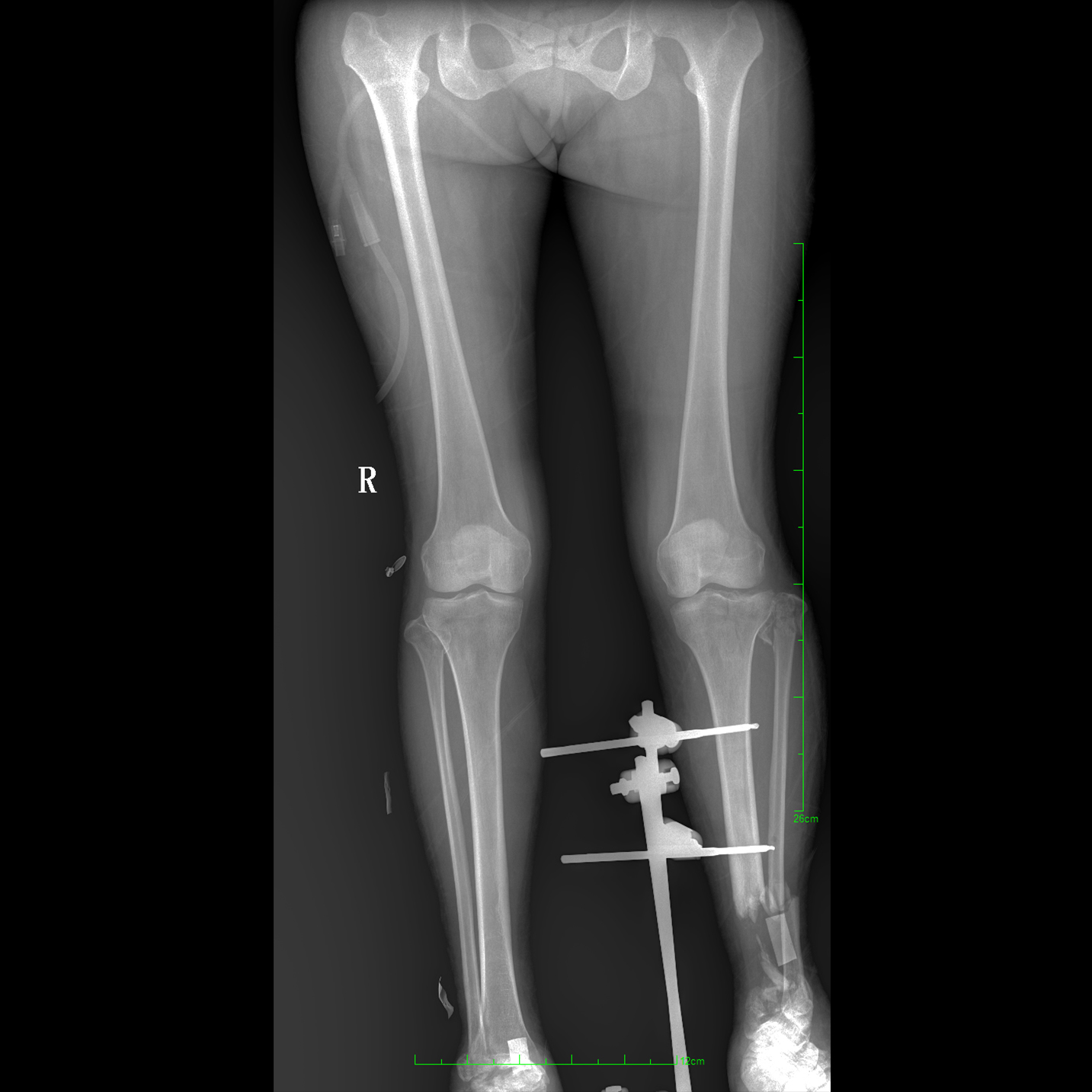
支持全脊柱摄影、双下肢摄影、脊髓造影、复杂创伤、人工关节置换、关节损伤的修复重建等大视野临床应用

全脊柱一次成像 不拼接

17"*34"有效视野,一次成像不拼接。相较于多张摄影再软件拼接的DR设备,PLX8600解决了拼接图像存在密度不均匀,拼接处图像配准和放大效应等问题,给临床带来了大视野影像解决方案,可一次性覆盖全脊柱或双下肢影像。

大视野摄影/透视 一机多用

除常规静态摄影外,PLX8600大平板具备动态透视和点片功能,透视采集功能可支持大视野、多角度的可视化观察。通过可视化的动态影像,配合点片功能,能够很好的观察复杂部位病灶,有效的抓取关键帧,降低患者多次摄片的概率。如:全脊柱状态评估、长骨关节活动度、下肢静脉造影瓣膜功能评估、消化道功能评估、脊髓造影等更多大视野临床应用。

高功率/大热容/长待机

高功率大热容,为持久工作保驾护航。不管是摄影模式还是透视模式,均能保持长时间连续工作,无需预约,随到随拍。

智能参数+剂量管理


AEC自动曝光电离室

可根据患者体厚自动调整拍摄参数,开启AUTO模式,无需技师手动调整参数,减轻技师的工作压力。

配备DAP剂量管理系统

可显示患者单次检查吸收的累计辐射剂量值,辐射剂量一目了然, 方便医生对多次随访的患者进行辐射剂量监控。


Clinical picture
临床图片
糖心-糖心vlog官网-记录美好生活甜蜜的瞬间 糖心-糖心vlog官网-记录美好生活甜蜜的瞬间 糖心-糖心vlog官网-记录美好生活甜蜜的瞬间 糖心-糖心vlog官网-记录美好生活甜蜜的瞬间 糖心-糖心vlog官网-记录美好生活甜蜜的瞬间