● 短曝光、高热容,拍片数量多、效率高。
● 轻松应对大型体检中心高强度的拍片要求。
● 短曝光、高热容,拍片数量多、效率高。
● 轻松应对大型体检中心高强度的拍片要求。
● 采用自主研发的技术,在保证优质图像的前提下,大大降低X射线剂量,用心呵护医护工作者及患者的健康。
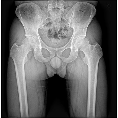
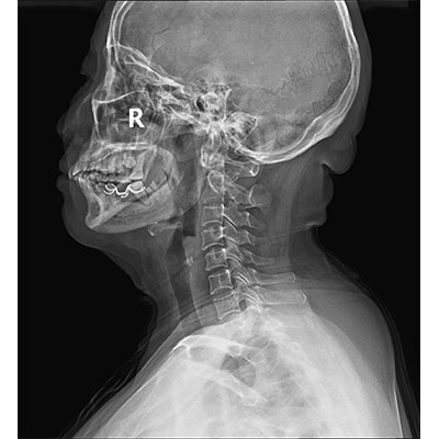
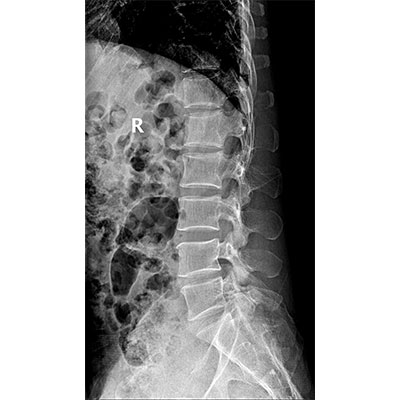
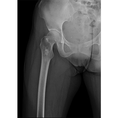
● 短曝光时间,便于老年人、儿童、残疾人进行临床拍摄。避免这类群体因不能有效控制身体运动等因素造成的运动伪影,提高摄片质量及效率。
● 无缝对接云PACS系统,信息共享、远程诊断;
● 故障自我诊断并显示故障代码,快速判断故障状态,并具有自我保护功能。
智能化运动系统支持一键到位,一键完成卧位到站立位的智能切换,并自动调整适合的SID,平板自主对中校准,准确到达预投照体位。