糖心vlog

PLX8500系列

数字化医用X射线摄影系统

动静相宜 全面诊断 PLX8500

PLX8500 系列数字化医用X射线摄影系统

● 集摄影、透视、造影等多功能为一体
● 核心优势: 大功率 动态平板 高清摄影 快速成像 透视造影 高清点片
● 采用自主研发脉冲技术,大尺寸动态平板,可实现动、静态摄影模式无感切换,呈现更优质的图像,为临床医生提供诊断依据。

高、标清透视功能   助力诊断

●  标清透视    以较少的辐射剂量呈现医生所需的诊断图像,为临床初筛提供优质影像。
●  高清透视    在初诊筛查的基础上,使用高清透视功能辅助医生再次确认病灶点,降低漏诊、误诊的概率。
●  高清点片    在透视检查下,可进行毫秒级高清点片,准确捕捉病灶,为医生提供高清的诊断依据。

操作简单快捷   成像快速稳定

●  全智能IBS控制功能    配备全智能IBS控制系统,快速稳定出图。
●  图形化操作界面    设有多体型多部位的成人、儿童等人体图形化摄影参数,操作便捷,大幅提升用户的临床体验。
●  随时抓取单帧图像    动态采集或回放过程中可实时抓取单帧图像,便于医生对病灶点进行高效的诊断分析,编写诊断报告。

大尺寸分屏显示   图像对比更直观

● 大尺寸液晶显示器,摆脱双屏双工作站的束搏,可实现采集图像和回放图像同屏显示,便于医生做临床图像对比,提高诊断效率。
● 支持多屏扩展显示,便于用户开展学术观摩、多科室阅片,解决了诊断场地受限的问题,给医生更友好的诊断体验。

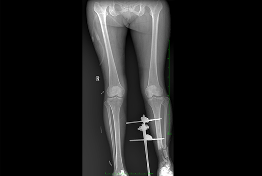
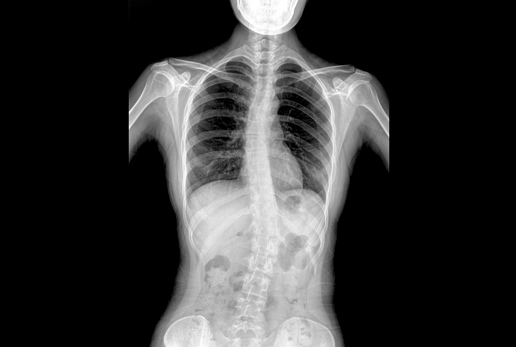
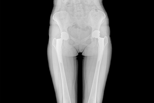
Clinical picture
临床图片
Clinical picture
产品视频
糖心-糖心vlog官网-记录美好生活甜蜜的瞬间 糖心-糖心vlog官网-记录美好生活甜蜜的瞬间 糖心-糖心vlog官网-记录美好生活甜蜜的瞬间 糖心-糖心vlog官网-记录美好生活甜蜜的瞬间 糖心-糖心vlog官网-记录美好生活甜蜜的瞬间