糖心vlog

PLX118F系列

移动式平板C形臂X射线机

动态板C形臂 开启清晰影像新篇章 PLX118F

PLX118F 系列移动式平板C形臂X射线机

临床适用科室:骨科、普通外科、矫形外科、创伤外科、泌尿外科、脊柱外科、疼痛外科、消化科、妇科等科室。

数字化影像链

大尺寸动态平板探测器,高DQE、低噪声、图像清晰。采用多分辨率图像增强处理技术,不同部位不同图像处理算法,满足客户多样化的需求。

智能变频脉冲透视技术

采用智能变频脉冲透视技术,优化图像质量的同时降低辐射剂量,呵护医患健康

智能化的人机交互设计

图形化操控界面设计:设有多种人体特征摄影参数,操作简便。双向红光十字定位系统:实现无射线下的高效定位。信息共享:遵循DICOM3.0格式接口,可无缝对接云PACS系统。

机器多角度运动

多角度自由旋转,满足患者复杂摆位需求。

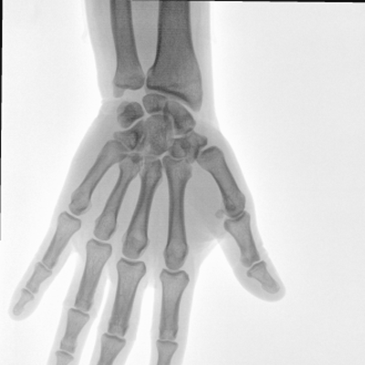
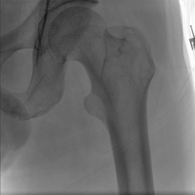
Clinical picture
临床图片
糖心-糖心vlog官网-记录美好生活甜蜜的瞬间 糖心-糖心vlog官网-记录美好生活甜蜜的瞬间 糖心-糖心vlog官网-记录美好生活甜蜜的瞬间 糖心-糖心vlog官网-记录美好生活甜蜜的瞬间 糖心-糖心vlog官网-记录美好生活甜蜜的瞬间