糖心vlog

VET1900系列

宠物专用数字化摄影系统

专为拍摄宠物设计 VET1900 宠物DR

VET1900 宠物专用X射线摄影系统

精致小巧的机身设计与灵活紧凑的机架结构,大大节约了占地面积,满足多种安装条件。

大尺寸平板探测器

● 17*17大尺寸平板探测器,获得高质量图像
● 优异的空间分辨率及信噪比,提升图像质量
● 采用线噪声消除技术,使成像质量提升40%

高品质硬件

● 进口高品质球管,大功率、高热容量、微焦点,1.0/2.0mm双焦点设计
● 25kHz高主逆变频率,输出电压更稳定;瞬时定格影像,无拖尾现象

与众不同的临床体验

● 智能高效的图像处理软件,大幅提升图像质量
● 可浮动床面设计,满足大部分中小型宠物检查
● 灵巧机架设计,近台操作,手动/遥控曝光,结构灵活紧凑
● 占地面积小,满足多种安装条件

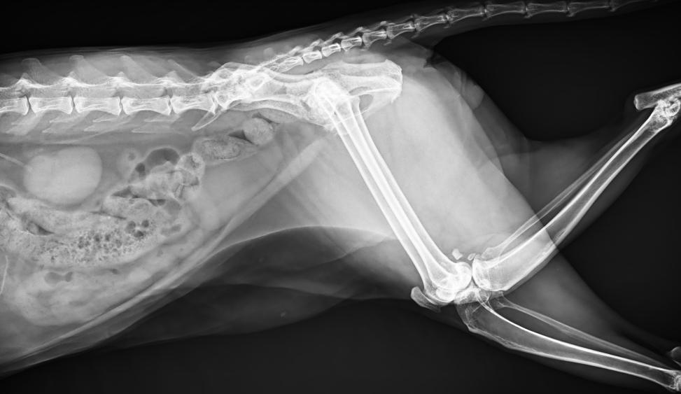
Clinical picture
临床图片
糖心-糖心vlog官网-记录美好生活甜蜜的瞬间 糖心-糖心vlog官网-记录美好生活甜蜜的瞬间 糖心-糖心vlog官网-记录美好生活甜蜜的瞬间 糖心-糖心vlog官网-记录美好生活甜蜜的瞬间 糖心-糖心vlog官网-记录美好生活甜蜜的瞬间