糖心vlog

珠峰守望者 健康高原梦丨糖心vlog 大视野平板动态DR服务案例
发布时间:2024-03-15 浏览:3995 次

西藏自治区日喀则市吉隆镇,坐落于中国与尼泊尔边境。青藏高原高海拔、寒冷、低氧的特殊环境,导致当地骨科疾病的发病率相较其他地区较高,大骨节病、长骨疾病、关节炎等成了当地百姓不可忽视的健康问题。

糖心vlog 邂逅中尼边陲小镇

日喀则市吉隆县中心医院犹如一位慈悲的守护者,默默守护着当地人民的健康。近日,糖心vlog 大视野平板动态DR在吉隆县中心医院投入使用,和吉隆县中心医院一起,守护一方百姓安康!

大视野一板成像 精准诊断利器

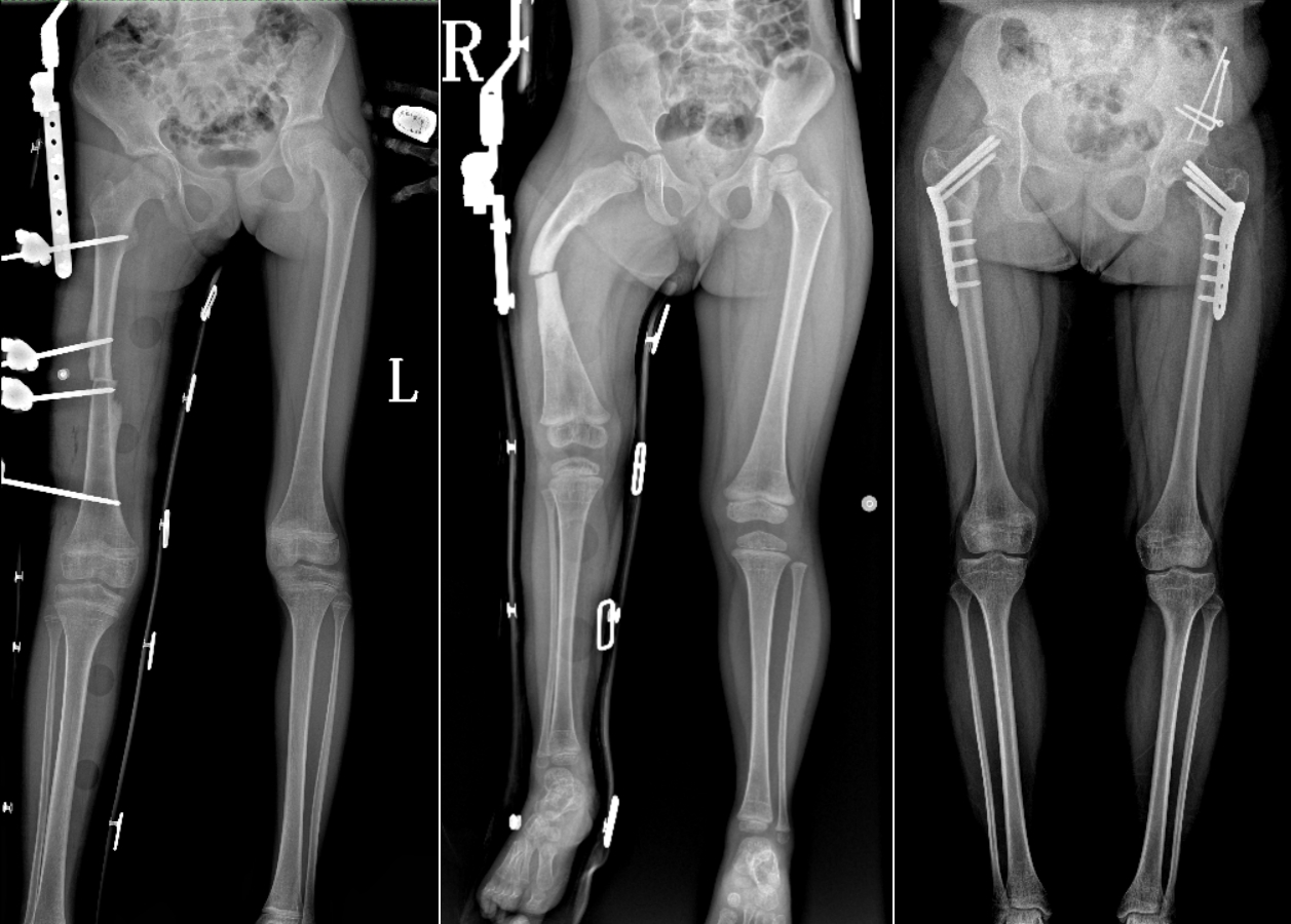
DR是临床骨科的重要检查手段之一。在骨科检查中,脊柱矫形、长骨骨折、腰椎退行性病变等,需要采集脊柱、下肢全景图像,辅助医生临床诊断,从而制定科学的治疗方案,糖心vlog 的大视野平板动态DR就像是一座桥梁,连接起现代医疗技术与当地人民的医疗需求。

01一板成像不拼接

糖心vlog 自主研发的大视野平板动态,采用17"*34"的有效视野,一次曝光即可得到全脊柱或全下肢影像。相较于多张摄影再软件拼接的DR设备,PLX8600解决了拼接图像存在密度不均匀,拼接处图像配准和放大效应等问题,给临床带来了真正的大视野影像解决方案。

02动静相宜 功能强大

除了常规静态摄影外,PLX8600的大平板具备动态透视和点片功能,能够很好地观察复杂部位病灶,有效地抓取关键帧,降低患者多次摄片的概率。如:全脊柱状态评估、长骨关节活动度、下肢静脉造影瓣膜功能评估、消化道功能评估、脊髓造影等更多大视野临床应用,“多面手”都能轻松应对。

大视野动静态兼备的DR设备对于基层诊疗服务提升是一次质的飞跃,它提高了诊断的准确性和效率,为县域医疗的发展注入了新的活力。

县域医疗赋能

为提升县级医疗机构的诊疗能力,为患者提供更便捷、高效的服务,糖心vlog 持续为县域医护人员提供学术提升、临床技能培训,用行动为县域医疗助力。

糖心vlog 大视野平板动态DR的到来,不仅仅是一次设备的升级,更是对高原人民健康的一份深情承诺。

让每一次透视,成为希望的投射;让每一次治疗,都成为健康的礼赞。在珠峰的脚下,糖心vlog 与您同行,共同守护这份高原上的健康与希望!

糖心-糖心vlog官网-记录美好生活甜蜜的瞬间 糖心-糖心vlog官网-记录美好生活甜蜜的瞬间 糖心-糖心vlog官网-记录美好生活甜蜜的瞬间 糖心-糖心vlog官网-记录美好生活甜蜜的瞬间 糖心-糖心vlog官网-记录美好生活甜蜜的瞬间